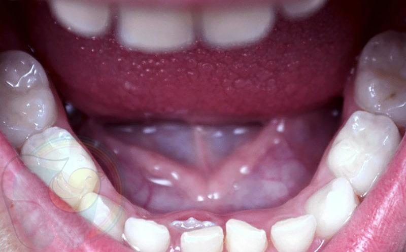
یکی از بیماری های شایع در دهان و دندان کودکان رشد دندان های اضافه در کودکان است که به دندان کوسهای موسوم است.

دندان کوسه ای زمانی شکل میگیرد که دندانهای دائمی بهجای جایگزینی دندانهای شیری، پشت یا جلوی آنها رشد میکنند و باعث ایجاد دو ردیف دندان میشوند. این وضعیت معمولاً در کودکان بین ۵ تا ۷ سال هنگام رویش دندانهای جلویی پایین دیده میشود. دلیل اصلی آن، قرار نگرفتن صحیح جوانه دندان دائمی زیر دندان شیری است. در اغلب موارد، این مشکل خودبهخود برطرف میشود؛ اما اگر دندان شیری لق نشده یا درد ایجاد شود، ممکن است نیاز به کشیدن دندان شیری توسط دندانپزشک باشد.
یه وقتایی بچهها وقتی دندونای شیریشون دارن میافتن، دندونای دائمی از پشتش درمیاد، ولی اون دندون شیری هنوز سر جاشه! 😅 نتیجه؟ دو ردیف دندون کنار هم، دقیقاً مثل دهن کوسه! واسه همین بهش میگن دندون کوسهای 🦈 این اتفاق معمولاً تو دندونهای جلوی پایین میافته و بیشتر وقتا خودش درست میشه، یعنی اون دندون شیری کمکم لق میشه و میافته.
رشد دندان کوسه ای نگرانکننده نیست، فقط یه مرحلهی گذرا تو رشد دندوناست.
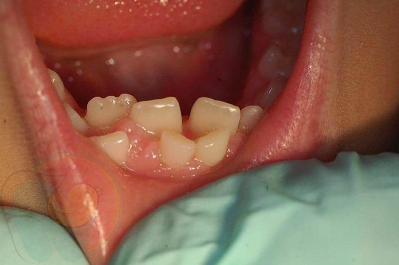
یکی از عوامل موثر در ایجاد دندان کوسه ای در کودکان اندازه و حجم دهان و فک کودک است. اگر فک کودک کوچک باشد و فضای کافی برای دندان های افراد را نداشته باشد، شما شاید بارها دیدن دندان های رشد کرده پشت دندان های قبلی را در کودکان مشاهده کرده باشید. این حالت دندان کوسه ای است و جای نگرانی ندارد.

برای درمان دندان کوسه ای شاید به مرور زمان این دندان ها لق شوند و خودشون بیفتند ولی در مواقعی باید به دندانپزشک مراجعه کرد تا این دندان های اضافی را بکشد.
شما باید کودکان را در فواصل زمانی معین به دندانپزشک مراجعه داده تا دهان و دندان های کودک معاینه کند و در صورت نیاز درمان مناسب از جمله کشیدن همین دندان ها کوسه ای را برای او انجام دهد.
دندان کوسه ای نگران کننده نیست و با تشخیص زودهنگام قابل درمان است، توجه نمایید درمان به موقع می تواند از مشکلات در آینده جلوگیری کند. بنابراین اگر کودکی دارید با انتخاب یک دندانپزشک اطفال مناسب و مراجعه نزد او به حفظ و سلامتی دندان های کودک خود کمک نمایید.
منبع: